糖尿病视网膜病变 付费文章

糖尿病视网膜病变的病理生理机制

2025年12月7日 78 阅读
糖尿病视网膜病变的病理生理机制

朋友们,今天咱们来聊一个听上去很高深的话题——糖尿病视网膜病变的病理生理机制。 别被这些专业术语吓到,其实就是探索一下高血糖是如何一步步伤害我们宝贵眼睛的。 就像侦探破案一样,咱们要找到这个"幕后黑手"的作案手法,才能更好地防范它。 想象一下,我们的眼睛就像一个精密的生物摄像头,视网膜就是这台摄像头的"感光芯片"。 而糖尿病就像一个调皮捣蛋的熊孩子,专门在这个精密仪器里搞破坏。 了解它的破坏手段,我们才能制定有效的"防熊孩子"策略。

课程一览

1. 高血糖对视网膜血管的损害

2. 血管内皮功能障碍

3. 新生血管形成机制

4. 黄斑水肿的发生机制

一、高血糖对视网膜血管的损害机制

高血糖伤害视网膜血管,就像长期用高浓度盐水浇花一样,看似在"滋养",实际上是在慢性"毒害"

这个过程涉及多个复杂的生物化学反应,但咱们可以用通俗的话来理解

1、糖基化终产物的形成

当血糖长期升高时,就像糖浆粘在锅底一样,葡萄糖会和血管壁上的蛋白质发生"粘连",形成所谓的晚期糖基化终产物

这些产物就像血管壁上的"锈斑",不但影响血管的正常功能,还会引发炎症反应

根据中山眼科中心的研究数据显示,糖尿病患者眼房水中的炎症因子水平明显升高,这说明糖基化反应确实在眼部引发了炎症

就像铁锈会让钢管变脆一样,这些"生物锈斑"让血管变得脆弱易损

2、氧化应激的恶性循环

高血糖还会产生大量的活性氧,就像工厂排放的有毒废气一样

这些活性氧会攻击血管内皮细胞,破坏细胞膜的完整性

更糟糕的是,这个过程会形成恶性循环——氧化损伤产生更多活性氧,活性氧又加重氧化损伤

想象一下森林火灾,初起时可能只是小火苗,但风助火势,火借风威,最终酿成大灾

氧化应激就是这样的"生物火灾",在视网膜血管中肆意蔓延

3、血流动力学的改变

长期高血糖还会改变血液的流变学特性,让血液变得更加"粘稠",就像蜂蜜比水更难流动一样

同时,血管的自动调节功能也会受损,无法根据需要及时调整血流量

这就像高速公路上的车流量调节系统失灵了,有时候车太多造成拥堵,有时候车太少造成浪费,总之就是乱套了

二、血管内皮功能障碍的分子机制

血管内皮就像血管的"内衬",它的健康状态直接决定了血管的功能

糖尿病就像一个破坏分子,专门针对这层"内衬"下毒手

1、内皮细胞的结构变化

正常的血管内皮细胞排列得整整齐齐,就像训练有素的士兵站队一样

但在高血糖的攻击下,这些细胞开始"队形散乱",细胞之间的连接变得松散,就像篱笆墙上的木板开始松动一样

研究发现,糖尿病患者的视网膜血管内皮细胞会出现明显的形态学改变,细胞肿胀、核形不规则,细胞间连接蛋白表达下降

这就像房子的墙壁出现裂缝,保温隔音效果都会大打折扣

2、血管通透性的异常增加

内皮功能障碍最直接的后果就是血管通透性增加,原本应该"滴水不漏"的血管壁开始"漏水"

血液中的蛋白质、脂质等大分子物质开始渗透到血管外,在视网膜组织中堆积

这就像水管接头松了,水不断往外渗,不但浪费资源,还会弄湿周围的东西

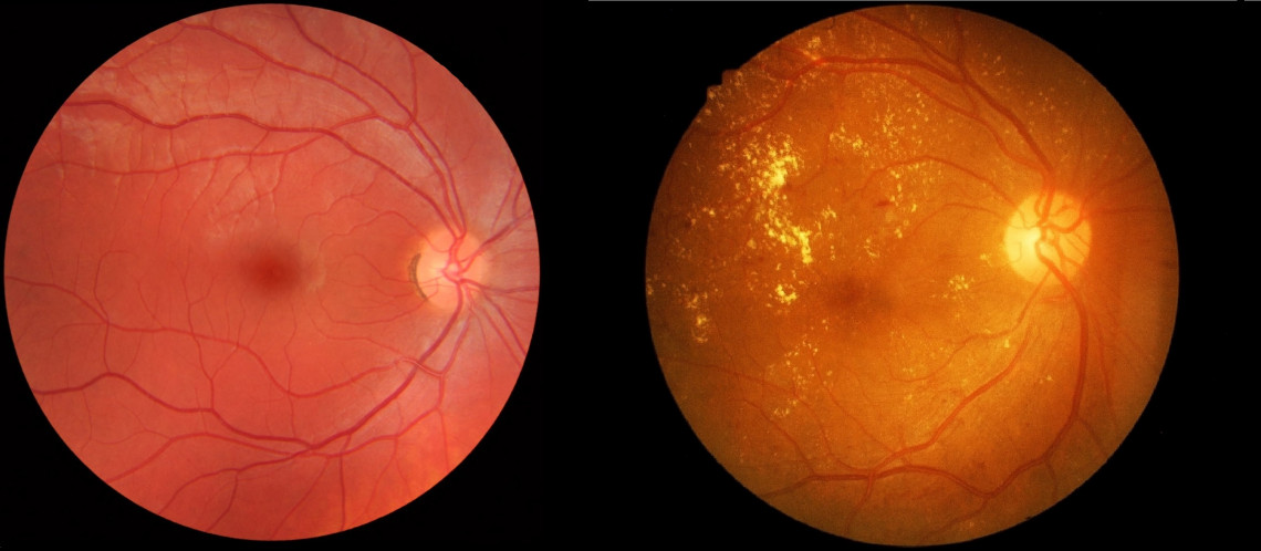
在视网膜里,这种"渗漏"会导致视网膜水肿和硬性渗出

3、炎症因子的大量释放

受损的内皮细胞还会释放各种炎症因子,就像受伤的细胞在"呼救"一样

这些炎症因子包括白细胞介素、肿瘤坏死因子等,它们会进一步加重血管损伤

据医药魔方的研究报告显示,长期高血糖可导致白细胞介素6等多种细胞因子紊乱,引起血管内皮细胞等多种细胞的功能异常

这就像多米诺骨牌效应,一个倒下,全部跟着倒

三、新生血管形成的复杂机制

当视网膜组织缺血缺氧到一定程度时,机体会启动"自救模式",试图通过长出新血管来改善供血

听起来是好事,但这种"病急乱投医"的做法往往适得其反

1、缺氧诱导的信号传导

视网膜缺血时,组织细胞会释放求救信号,主要是缺氧诱导因子

这些因子就像火警报警器一样,一旦检测到"缺氧火情",立即发出警报

缺氧诱导因子会激活一系列下游的基因表达,其中最重要的就是血管内皮生长因子的表达

这就像消防队接到火警后,立即派出消防车一样

2、血管内皮生长因子的关键作用

血管内皮生长因子就像新血管生长的"总指挥官",它不但能促进内皮细胞增殖,还能引导血管芽的萌发和延伸

正常情况下,这是一个很好的修复机制

但在糖尿病的病理环境下,这个"总指挥官"就像喝醉了酒一样,指挥得乱七八糟

长出来的新血管质量极差,就像豆腐渣工程,不但没有改善供血,反而制造了更多问题

剩余内容为付费内容

成为会员即可解锁全部内容,享受更多专属权益

相关推荐