间质性肺疾病 付费文章

适合间质性肺疾病的营养补充剂

2026年1月8日 69 阅读
适合间质性肺疾病的营养补充剂

营养补充只是治疗拼图中的一块,不能指望它包治百病。 保持积极乐观的心态,规律的作息,适度的运动,加上合理的营养支持,才能帮助我们更好地与疾病共存。 记住,健康是一场马拉松,不是百米冲刺。 每一个小小的改变,都可能带来意想不到的收获。 愿每一位间质性肺疾病的患者都能在营养的支持下,重新找回生活的美好。

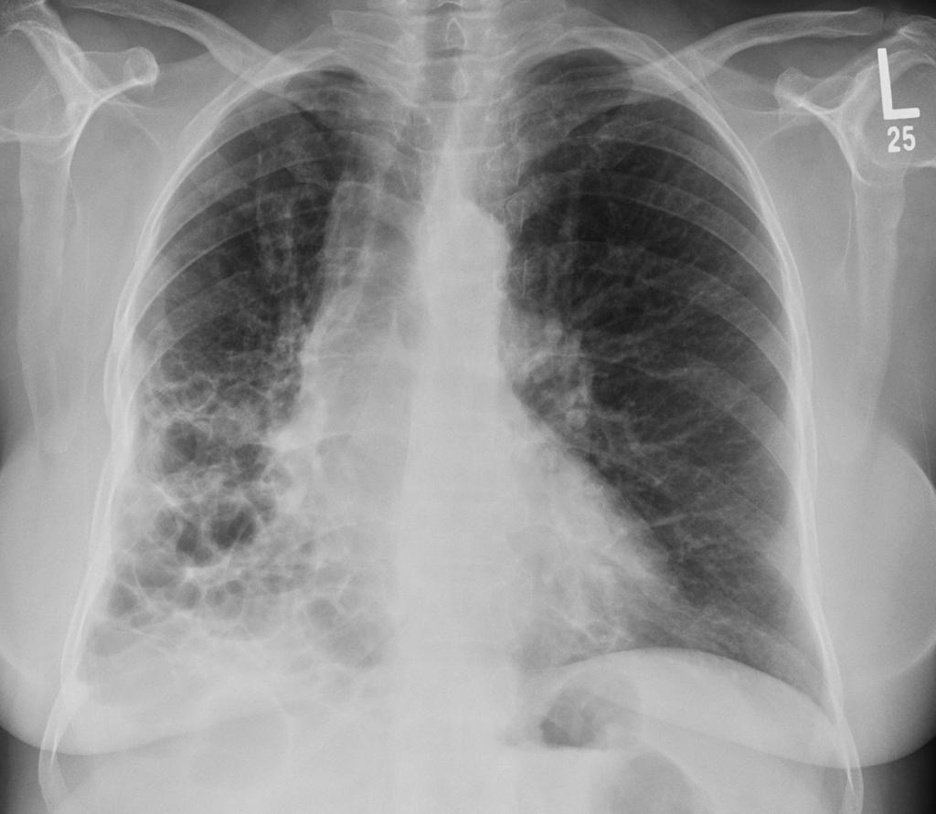
间质性肺疾病,简称ILD,听起来就像是肺部的"装修工程"出了问题

肺泡周围的间质组织发生炎症和纤维化,就像原本柔软的海绵变成了硬邦邦的石头,呼吸自然就困难了

虽然这个病听起来挺吓人,但别慌,合理的营养补充可以成为治疗路上的好帮手

想象一下,我们的肺就像一个精密的空气净化器,需要各种"零件"保持最佳状态

当这台"净化器"出现故障时,我们不仅要修理,更要给它提供优质的"保养品"

今天咱们就来聊聊,哪些营养补充剂能帮助间质性肺疾病患者更好地管理病情

课程一览

1. 抗氧化补剂(N-乙酰半胱氨酸、维生素E)

2. ω-3 增量与碱性调节

3. 维生素D与免疫调节

4. 补充使用的证据评价与建议

一、抗氧化补剂的威力

说到抗氧化,很多人第一反应就是美容养颜,但其实它在肺部疾病中的作用可不小

间质性肺疾病的发病机制中,氧化应激扮演着重要角色,就像是肺部的"锈蚀剂",不断腐蚀着健康的肺组织

1N-乙酰半胱氨酸:肺部的清道夫

N-乙酰半胱氨酸,简称NAC,这个名字听起来很高深,其实它就是一个勤劳的"清道夫"

NAC能够补充体内的谷胱甘肽储备,这可是我们体内最重要的抗氧化剂之一

根据美国胸科学会发表的研究,NAC在特发性肺纤维化患者中显示出一定的保护作用

每日推荐剂量为600-1800毫克,分2-3次服用

不过别急着去买,最好先咨询医生,因为NAC可能与某些药物产生相互作用

有个患者跟我分享过,他说服用NAC后感觉痰液变得容易咳出了,就像给肺部装了个"润滑剂"

这其实是因为NAC能够稀释痰液,帮助清理呼吸道

营养食谱推荐: 蒜蓉西兰花 食材:西兰花300克,大蒜3瓣,橄榄油15毫升,盐适量 做法:西兰花洗净切小朵,大蒜切末

热锅下橄榄油,爆香蒜末,倒入西兰花翻炒3-4分钟,调味即可

西兰花富含硫化物,有助于体内谷胱甘肽的合成

2、维生素E:细胞膜的守护神

维生素E就像是细胞膜的"保镖",专门保护细胞不受自由基的伤害

对于间质性肺疾病患者来说,维生素E能够减轻肺部炎症,保护肺泡上皮细胞

欧洲呼吸学会的研究显示,维生素E缺乏与肺功能下降存在关联

建议每日摄入量为15-30毫克的天然维生素E

记住,天然的比合成的效果更好,就像新鲜水果比果汁粉更有营养一样

营养食谱推荐: 坚果拌菠菜

食材:嫩菠菜200克,核桃仁30克,杏仁片20

剩余内容为付费内容

成为会员即可解锁全部内容,享受更多专属权益

相关推荐